Case.09矯正前の抜歯
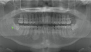
治療前

治療後

| 主 訴 | 左上の親知らずを抜いてほしい |
|---|---|
| 治療期間 | 1日 |
| 治療費用 | ¥4,000 |
| 治療内容 | 当院で矯正治療を行う患者様で、矯正前に違和感があるので左上の親知らずの抜歯を希望されました。 かなり深い位置に埋伏していたのと、根が大きく曲がっていたので歯肉を切開し、歯の頭を分割して抜歯しました。30分ほどで抜歯は終了いたしました。 |
| 治療のリスク | ・抜歯後に唇、舌の感覚の麻痺が起こる可能性があり。 ・抜歯後2、3日目をピークに腫れや痛みが出る。 |
click!
| 主 訴 | 親知らずのせいで歯並びが悪くなっている気がする |
|---|---|
| 治療期間 | 1日 |
| 治療費用 | ¥10,000(CT代込) |
| 治療内容 | 痛みなどの症状はなく、歯肉の中に完全に埋まっている歯でしたが親知らずのせいで歯並びが悪くなっている気がするとのことで抜歯を希望されました。 一見簡単そうに見えますが骨にも埋まっており、レントゲン写真では見えない位置で歯根が2つに別れていたため、歯根も分割して抜歯しました。あらかじめCTを撮影していたため、分割も予測でき、15分で抜歯終了いたしました。 |
| 治療のリスク | ・抜歯後に唇、舌の感覚の麻痺が起こる可能性があり。 ・抜歯後2、3日目をピークに腫れや痛みが出る。 |
| 主 訴 | 親知らずのせいで歯並びが悪くなっている気がする |
|---|---|
| 治療期間 | 1日 |
| 治療費用 | ¥10,000(CT代込) |
| 治療内容 | 痛みなどの症状はなく、歯肉の中に完全に埋まっている歯でしたが親知らずのせいで歯並びが悪くなっている気がするとのことで抜歯を希望されました。 一見簡単そうに見えますが骨にも埋まっており、レントゲン写真では見えない位置で歯根が2つに別れていたため、歯根も分割して抜歯しました。あらかじめCTを撮影していたため、分割も予測でき、15分で抜歯終了いたしました。 |
| 治療のリスク | 2,3日は腫れと痛みがある可能性があります。 |
JR西宮駅から徒歩3分の歯医者・歯科「スマイルプラン歯科クリニック西宮」は兵庫県西宮市の総合歯科医院です。虫歯治療や予防歯科などの一般歯科から、各専門医による高度で精密なインプラント・審美歯科などの専門歯科治療まで幅広く対応しています。