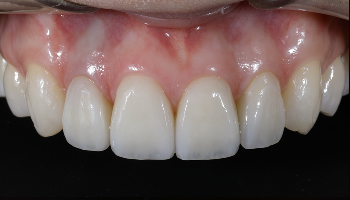
Case.07右の前歯が気になる
治療前



治療後



| 主 訴 | 右の前歯が気になる |
|---|---|
| 治療期間 | 約1ヶ月 |
| 治療費用 | ¥132,000 |
| 治療内容 | 右の前歯が気になるとのことで、ジルコニアクラウンで補綴修復しました。 |
| 治療のリスク | ・ナイトガードを夜間に装着し、被せ物や歯牙の破折の防止を行っていただきます。 ・天然の歯を少し削合します。 |
click!
下の歯の銀歯をセラミックに変えたいとのことで、銀歯を2本セラミックインレーに替えました。
型取りした後2週間で完成します。
詰め物の色、しわや咬む面の着色具合も周りの歯に近い状態で技工士さんに再現してもらい、満足して頂きました。
術者側から見ても段差のない、虫歯が再発しにくい状態に修復できたと思います。


| 主 訴 | 下の歯の銀歯が気になる |
|---|---|
| 治療期間 | 2週間 |
| 治療費用 | ¥110,000 |
| 治療内容 | セラミックインレー |
| 治療のリスク | ・ナイトガードを夜間に装着し、被せ物や歯牙の破折の防止を行っていただきます。 ・天然の歯を少し削合します。 |
カテゴリ:審美歯科
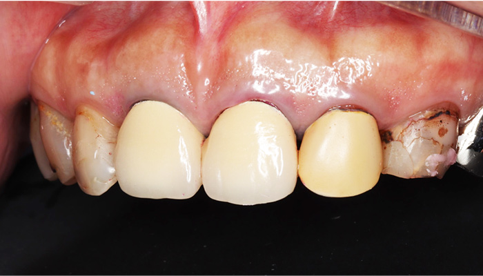
右上の前から2番目の歯の変色と、前歯2本の前突感を気にされて来院された患者様です。
結婚式を間近に控えて、式までに歯をキレイにしたいとのご希望でした。
時間の制約があるため、今回は矯正治療は対象外となりました。
右上前から2番目の歯は神経が死んでしまっていることによる歯の変色が起こっていて、歯の内側からの漂白でも十分には白くなりそうにありませんでした。
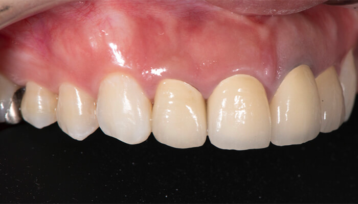
幸い前歯4本はとてもエナメル質が厚い歯であったので、エナメル質の表面を0.3~0.7mmほど削って薄いセラミックのシェルを接着するラミネートベニアという治療法で、前歯を少し内側に入れて、4本の色調を整えることとしました。
かなり明るさの違う4本の歯を薄いセラミックだけで色合わせを行うことは、とても難しい作業でしたが担当技工士の尽力によりとても良い結果となり、患者様も無事に綺麗な歯で結婚式当日を迎えられました。
患者様の大切な人生の節目に少しでもお役に立てることは、担当医、担当技工士としても嬉しい限りです。
エナメル質の範囲内で0.5mmほど薄く歯を削る。

完成したラミネートベニア。接着のための処理を行う。







担当医山本 恒一 |
主 訴 | 歯の色と前突感が気になる |
|---|---|---|
| 治療期間 | 4ヶ月 | |
| 治療費用 | 約¥500,000 | |
| 治療内容 | ポーセレンラミネートベニア | |
| 治療のリスク | ・ナイトガードを夜間に装着し、被せ物や歯牙の破折の防止を行っていただきます。 ・天然の歯を少し削合します。 |
カテゴリ:審美歯科
前歯の審美改善を希望して来院された患者さまです。
左上の前歯には保険の被せ物が入っていて、かなり変色してしまっていました。また左右の歯の長さも揃っていなかったので、まず神経の治療をして仮の歯を作製した後に、歯冠長延長術(歯の長さを揃えるために歯茎と歯の周りの骨の位置を修正する治療)を行いました。
新しい被せ物は天然歯の透明感を再現するために、ジルコニアオールセラミッククラウンを使用して両隣の天然歯の色調を再現しました。
患者様にもとても喜んで頂ける結果となりました。
担当医山本 恒一 |
主 訴 | 前歯をキレイにしたい |
|---|---|---|
| 治療期間 | 5ヶ月 | |
| 治療費用 | ¥152,000 | |
| 治療内容 | 歯内治療、歯冠長延長術、ジルコニアクラウン | |
| 治療のリスク | ・将来的に歯根の先に炎症が起こるリスクがあります。 |
カテゴリ:審美歯科
以前に保険治療で行った前歯の被せ物がだんだん変色してきて気になるとのことで来院されました。
保険治療ではプラスチックの被せ物が使われるので、天然歯のような透明感がない上に、時間の経過とともにだんだん黄色く変色してきてしまいます。
今回は光透過性が高く、天然の歯のような自然なグラデーションの色調を持つ最新式のジルコニアセラミックを使って新しいクラウンを製作しました。
天然の歯と見分けのつかない美しさに、患者様にも大変満足して頂けました。
担当医山本 恒一 |
主 訴 | 前歯の色が気になる |
|---|---|---|
| 治療期間 | 3ヶ月 | |
| 治療費用 | ¥550,000 | |
| 治療内容 | 根管治療とジルコニアクラウン | |
| 治療のリスク | ・ナイトガードを夜間に装着し、被せ物や歯牙の破折の防止を行っていただきます。 ・天然の歯を少し削合します。 |
カテゴリ:審美歯科
失われた歯の機能を取り戻すインプラント治療と、美しい天然歯の輝きを取り戻す審美歯科治療で、患者様に「健康と美」を提供できる精密で高度な治療を全ての患者様にご提供致しております。
スマイルプラン歯科クリニック西宮で治療した症例の一部をご紹介致します。
JR西宮駅から徒歩3分の歯医者・歯科「スマイルプラン歯科クリニック西宮」は兵庫県西宮市の総合歯科医院です。虫歯治療や予防歯科などの一般歯科から、各専門医による高度で精密なインプラント・審美歯科などの専門歯科治療まで幅広く対応しています。