無料インプラント相談受付中GBR(骨造成)によるインプラント

▶︎ インプラント無料カウンセリング

Case record of “SMILE PLAN”当院のインプラント症例実績

左下の歯がグラグラする

口腔内写真

BEFORE
AFTER

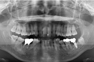
レントゲン写真

BEFORE

初診時のパノラマレントゲン写真です。
左下の奥歯の骨が全周吸収してしまっており、保存不可能な状態でした。インプラントを埋入していくにあたり、骨が全くなかったのでまずはGBR(骨造成)を行いました。
右下の被せ物が入っている歯は骨が部分的に吸収してしまっており、将来的に隣の歯まで骨が吸収してきてしまう可能性をお伝えすると、抜歯をしてインプラントをしていくことになりました。

AFTER

左下にインプラントが入った状態です。
パノラマレントゲン写真にてインプラントの周りにしっかりと骨ができている事がわかります。

口腔内写真(治療後)

口腔内写真(治療後)

BEFORE
AFTER

右下のLOT(限局矯正)の術前、術後の状態です。
予めシミュレーションを行い、ガイドを用いてインプラントを埋入し、それを固定源にする事により歯に付ける装置を必要最小限に止めることが出来ました。


担当医
有田 昌慎
主訴 左下の歯がグラグラする。
治療期間 約1年半
治療費 約1,100,000円
治療内容 左下の奥歯に関して、レントゲン写真を撮ると歯根の周りが吸収してしまっており保存不可能の状態でした。
骨が全然なかったのでGBR(骨造成)を行いインプラントを埋入しました。
右下の被せ物が入っている歯も骨が吸収してしまっており、インプラント治療をしていくことになりました。
手前の歯がかなり舌側に倒れているのでLOT(限局矯正)を行い、被せ物を入れました。
奥歯でしっかりと噛めるようになり、舌を噛むことも無くなったと満足していただきました。
リスク
副作用
噛み合わせがきつい方はナイトガードをしておかないと被せ物がかける恐れがあります。
次の症例を見る
スマイルプラン
スマイルプラン
大阪・兵庫グループ6院で
無料カウンセリング
実施中!各医院で専門ドクターが
患者様のお悩みを丁寧に伺います
スマイルプラングループではインプラント治療についての無料カウンセリングを行なっております。 インプラントについてもっと詳しく知りたい方、他院でインプラント治療ができないと言われた方、 まずは治療期間や費用について聞いてみたいという方、どんなことでもお気軽にご質問ください。 インプラント治療経験豊富な歯科医師が詳しくご説明致します。
  • 梅田エリア
  • なんばエリア
  • 茨木エリア
  • 高槻エリア
  • 西宮エリア
  • スマイルプラン

     

    クリニック紹介

    スマイルプラン歯科クリニックOSAKA
    診療時間
    火、木、金、土、日:10:00~19:00
    水:10:00~14:00
    休診日
    月・祝日

    〒530-0001 大阪府大阪市北区梅田1丁目13番1号 大阪梅田ツインタワーズ・サウス 13階

    06-6347-1888 ▶︎ インプラント無料カウンセリング

    ドクター紹介

    • 院長 景山 祐杜

      スマイルプラン歯科クリニックOSAKAの院長の景山祐杜です。
      歯科に来院される患者様のお口の悩みは痛みや不快感、審美障害など多岐に渡ります。
      私たちはその悩みを改善できるよう最新の医療設備や高い治療技術、患者様に寄り添った親しみやすいサービスを惜しみなく提供致します。
      お口の悩みや不安を抱える患者様は是非お気軽に当院まで足を運んでください。 皆様のご来院を心よりお待ちしております。

      経歴
      九州大学歯学部 卒業
      スマイルプラン歯科クリニック
      OSAKA 院長

    院内設備紹介

     

  • スマイルプラン

     

    クリニック紹介

    ホワイトベア歯科クリニックなんば
    診療時間
    火、木、金、土、日:10:00~19:00
    水:10:00~14:00
    休診日
    月・祝日

    〒542-0076 大阪府大阪市中央区難波3-8-9 なんばマルイ2F

    06-6633-2828 ▶︎ インプラント無料カウンセリング

    ドクター紹介

    • 院長 西野 毅至

      患者様のお悩みに寄り添うことができる歯科医師でありたいと思っております。
      常に最新の知識や技術を身につけることで、患者様にできるだけ多くの選択肢を提供できるように努力していきたいと思っております。

      経歴
      九州歯科大学歯学部 卒業
      ホワイトベア歯科クリニックなんば 院長

    院内設備紹介

     

  • スマイルプラン

     

    クリニック紹介

    やまもと歯科クリニック
    診療時間
    平日・土曜 9:30~18:30
    水曜 9:30〜13:30
    休診日
    日曜・祝日

    大阪府茨木市西駅前町5-21 津田ビル1F
    JR茨木駅から西へ徒歩5分

    072-625-8222 ▶︎ インプラント無料カウンセリング

    ドクター紹介

    • 理事長・院長 山本 恒一

      私たちスマイルプラン歯科グループのコンセプトは「すべてにおいて上質な歯科医院であること。」です。
      質の高いおもてなしと医療サービス、最高レベルの治療技術を患者様に提供できる歯科医院であるために日々研鑽しています。

      経歴
      1999年 大阪大学歯学部卒業
      2004年 スマイルプランやまもと歯科クリニック開院
    • 副院長 高倉 駿

      経歴
      昭和大学歯学部卒業
      スマイルプランやまもと歯科クリニック勤務

    院内設備紹介

    • スマイルプラン
    • スマイルプラン
    • スマイルプラン

     

    • スマイルプラン
    • スマイルプラン
    • スマイルプラン

     

     

    クリニック紹介

    オーク歯科クリニック
    診療時間
    平日・土曜 9:30~18:30
    水曜 9:30~13:30
    休診日
    日曜・祝日

    大阪府茨木市舟木町5-12 ホワイトビル1F
    阪急茨木市駅から東へ徒歩4分

    072-637-1755 ▶︎ インプラント無料カウンセリング

    ドクター紹介

    • 院長 有田 昌慎

      当院では医院の内装や患者様への対応・コミュニケーション、歯科医師の技術という3点に特に力を入れて患者様の診療を受け入れるようにしています。
      私達は患者様からお口の健康を任せていただけるように、頼りがいのある歯科医院を目指しています。

      経歴
      九州歯科大学歯学部卒業
      スマイルプランさくら歯科クリニック 院長
    • 井上 倭総

      経歴
      岡山大学歯学部卒業
      スマイルプランオーク歯科クリニック勤務

     

    院内設備紹介

    • スマイルプラン
    • スマイルプラン
    • スマイルプラン

     

    • スマイルプラン
    • スマイルプラン
    • スマイルプラン
  • スマイルプラン

     

    クリニック紹介

    さくら歯科クリニック
    診療時間
    平日・土曜 9:30~18:30
    水曜 9:30〜13:30
    休診日
    日曜・祝日

    大阪府高槻市北園町13-28 北園町SAKURA BLD.

    072-686-2200 ▶︎ インプラント無料カウンセリング

    ドクター紹介

    • 院長 有田 昌慎

      当院では医院の内装や患者様への対応・コミュニケーション、歯科医師の技術という3点に特に力を入れて患者様の診療を受け入れるようにしています。
      私達は患者様からお口の健康を任せていただけるように、頼りがいのある歯科医院を目指しています。

      経歴
      九州歯科大学歯学部 卒業
      スマイルプランさくら歯科クリニック 院長

    院内設備紹介

    • スマイルプラン
    • スマイルプラン
    • スマイルプラン

     

    • スマイルプラン
    • スマイルプラン
    • スマイルプラン
  • スマイルプラン

     

    クリニック紹介

    スマイルプラン歯科クリニック西宮
    診療時間
    平日・土曜 9:30~18:30
    水曜 9:30~13:30
    休診日
    木曜・日曜・祝日

    兵庫県西宮市松原町4-1 西宮ステーションビル1F

    0798-34-5566 ▶︎ インプラント無料カウンセリング

    ドクター紹介

    • 院長 野口 陽平

      経歴
      岡山大学歯学部卒業
      スマイルプラン歯科クリニック西宮勤務
      研修実績
      DIO naviインプラント実践コース
      アストラテックインプラントシステムEVイントロダクトリーコース
      テルナ・ジャパン ヒアルロン酸注入、ボトックス治療セミナー
      ClubGP Basic Program
    • 副院長 秋山 咲季

      同じ目線で患者様にとって必要で最適な治療は何なのかをしっかりと把握し、丁寧な治療をご提供いたします。
      気になることがあれば些細なことでもご相談ください。

      経歴
      岡山大学歯学部卒業
      スマイルプラン歯科クリニック西宮 副院長

    院内設備紹介

    • スマイルプラン
    • スマイルプラン
    • スマイルプラン

     

    • スマイルプラン
    • スマイルプラン
    • スマイルプラン

MENUCLOSE

※WEB予約が埋まっていても当日受診可能な場合がありますのでお電話ください。