無料インプラント相談受付中フラップレス
インプラント

▶︎ インプラント無料カウンセリング

Case record of “SMILE PLAN”当院のインプラント症例実績

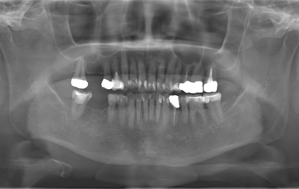
右下にインプラントを入れたい

レントゲン写真(治療前)

レントゲン写真

インプラント埋入
上部構造装着

インプラント埋入

インプラント担当ドクターより

右下の奥歯にインプラント希望で来院されました。
骨の量も幅も十分であったため、患者様にフラップレスでのオペをおすすめしたところ、希望されたため行いました。

オペ自体も30分もかからず終了し、縫合もないので、術後の痛みもほぼなく、翌日には痛み止めを飲まずに来院されました。

主訴 右下にインプラントを
入れたい
治療期間 4ヶ月
治療費 440,000円
治療内容 右フラップレスインプラントで術後の痛みは
全くないとおっしゃっていました。
リスク
副作用
稀に術後感染によりインプラントが骨に馴染まないことがあります。
次の症例を見る
スマイルプラン
スマイルプラン
大阪・兵庫グループ6院で
無料カウンセリング
実施中!各医院で専門ドクターが
患者様のお悩みを丁寧に伺います
スマイルプラングループではインプラント治療についての無料カウンセリングを行なっております。 インプラントについてもっと詳しく知りたい方、他院でインプラント治療ができないと言われた方、 まずは治療期間や費用について聞いてみたいという方、どんなことでもお気軽にご質問ください。 インプラント治療経験豊富な歯科医師が詳しくご説明致します。
  • 梅田エリア
  • なんばエリア
  • 茨木エリア
  • 高槻エリア
  • 西宮エリア
  • スマイルプラン

     

    クリニック紹介

    スマイルプラン歯科クリニックOSAKA
    診療時間
    火、木、金、土、日:10:00~19:00
    水:10:00~14:00
    休診日
    月・祝日

    〒530-0001 大阪府大阪市北区梅田1丁目13番1号 大阪梅田ツインタワーズ・サウス 13階

    06-6347-1888 ▶︎ インプラント無料カウンセリング

    ドクター紹介

    • 院長 景山 祐杜

      スマイルプラン歯科クリニックOSAKAの院長の景山祐杜です。
      歯科に来院される患者様のお口の悩みは痛みや不快感、審美障害など多岐に渡ります。
      私たちはその悩みを改善できるよう最新の医療設備や高い治療技術、患者様に寄り添った親しみやすいサービスを惜しみなく提供致します。
      お口の悩みや不安を抱える患者様は是非お気軽に当院まで足を運んでください。 皆様のご来院を心よりお待ちしております。

      経歴
      九州大学歯学部 卒業
      スマイルプラン歯科クリニック
      OSAKA 院長

    院内設備紹介

     

  • スマイルプラン

     

    クリニック紹介

    ホワイトベア歯科クリニックなんば
    診療時間
    火、木、金、土、日:10:00~19:00
    水:10:00~14:00
    休診日
    月・祝日

    〒542-0076 大阪府大阪市中央区難波3-8-9 なんばマルイ2F

    06-6633-2828 ▶︎ インプラント無料カウンセリング

    ドクター紹介

    • 院長 西野 毅至

      患者様のお悩みに寄り添うことができる歯科医師でありたいと思っております。
      常に最新の知識や技術を身につけることで、患者様にできるだけ多くの選択肢を提供できるように努力していきたいと思っております。

      経歴
      九州歯科大学歯学部 卒業
      ホワイトベア歯科クリニックなんば 院長

    院内設備紹介

     

  • スマイルプラン

     

    クリニック紹介

    やまもと歯科クリニック
    診療時間
    平日・土曜 9:30~18:30
    水曜 9:30〜13:30
    休診日
    日曜・祝日

    大阪府茨木市西駅前町5-21 津田ビル1F
    JR茨木駅から西へ徒歩5分

    072-625-8222 ▶︎ インプラント無料カウンセリング

    ドクター紹介

    • 理事長・院長 山本 恒一

      私たちスマイルプラン歯科グループのコンセプトは「すべてにおいて上質な歯科医院であること。」です。
      質の高いおもてなしと医療サービス、最高レベルの治療技術を患者様に提供できる歯科医院であるために日々研鑽しています。

      経歴
      1999年 大阪大学歯学部卒業
      2004年 スマイルプランやまもと歯科クリニック開院
    • 副院長 高倉 駿

      経歴
      昭和大学歯学部卒業
      スマイルプランやまもと歯科クリニック勤務

    院内設備紹介

    • スマイルプラン
    • スマイルプラン
    • スマイルプラン

     

    • スマイルプラン
    • スマイルプラン
    • スマイルプラン

     

     

    クリニック紹介

    オーク歯科クリニック
    診療時間
    平日・土曜 9:30~18:30
    水曜 9:30~13:30
    休診日
    日曜・祝日

    大阪府茨木市舟木町5-12 ホワイトビル1F
    阪急茨木市駅から東へ徒歩4分

    072-637-1755 ▶︎ インプラント無料カウンセリング

    ドクター紹介

    • 院長 有田 昌慎

      当院では医院の内装や患者様への対応・コミュニケーション、歯科医師の技術という3点に特に力を入れて患者様の診療を受け入れるようにしています。
      私達は患者様からお口の健康を任せていただけるように、頼りがいのある歯科医院を目指しています。

      経歴
      九州歯科大学歯学部卒業
      スマイルプランさくら歯科クリニック 院長
    • 井上 倭総

      経歴
      岡山大学歯学部卒業
      スマイルプランオーク歯科クリニック勤務

     

    院内設備紹介

    • スマイルプラン
    • スマイルプラン
    • スマイルプラン

     

    • スマイルプラン
    • スマイルプラン
    • スマイルプラン
  • スマイルプラン

     

    クリニック紹介

    さくら歯科クリニック
    診療時間
    平日・土曜 9:30~18:30
    水曜 9:30〜13:30
    休診日
    日曜・祝日

    大阪府高槻市北園町13-28 北園町SAKURA BLD.

    072-686-2200 ▶︎ インプラント無料カウンセリング

    ドクター紹介

    • 院長 有田 昌慎

      当院では医院の内装や患者様への対応・コミュニケーション、歯科医師の技術という3点に特に力を入れて患者様の診療を受け入れるようにしています。
      私達は患者様からお口の健康を任せていただけるように、頼りがいのある歯科医院を目指しています。

      経歴
      九州歯科大学歯学部 卒業
      スマイルプランさくら歯科クリニック 院長

    院内設備紹介

    • スマイルプラン
    • スマイルプラン
    • スマイルプラン

     

    • スマイルプラン
    • スマイルプラン
    • スマイルプラン
  • スマイルプラン

     

    クリニック紹介

    スマイルプラン歯科クリニック西宮
    診療時間
    平日・土曜 9:30~18:30
    水曜 9:30~13:30
    休診日
    木曜・日曜・祝日

    兵庫県西宮市松原町4-1 西宮ステーションビル1F

    0798-34-5566 ▶︎ インプラント無料カウンセリング

    ドクター紹介

    • 院長 野口 陽平

      経歴
      岡山大学歯学部卒業
      スマイルプラン歯科クリニック西宮勤務
      研修実績
      DIO naviインプラント実践コース
      アストラテックインプラントシステムEVイントロダクトリーコース
      テルナ・ジャパン ヒアルロン酸注入、ボトックス治療セミナー
      ClubGP Basic Program
    • 副院長 秋山 咲季

      同じ目線で患者様にとって必要で最適な治療は何なのかをしっかりと把握し、丁寧な治療をご提供いたします。
      気になることがあれば些細なことでもご相談ください。

      経歴
      岡山大学歯学部卒業
      スマイルプラン歯科クリニック西宮 副院長

    院内設備紹介

    • スマイルプラン
    • スマイルプラン
    • スマイルプラン

     

    • スマイルプラン
    • スマイルプラン
    • スマイルプラン

MENUCLOSE

※WEB予約が埋まっていても当日受診可能な場合がありますのでお電話ください。