Case record of “SMILE PLAN”当院のインプラント症例実績
1.前歯をキレイにしたい
BEFORE
AFTER
2.歯茎を切開したくない
BEFORE
AFTER
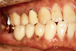
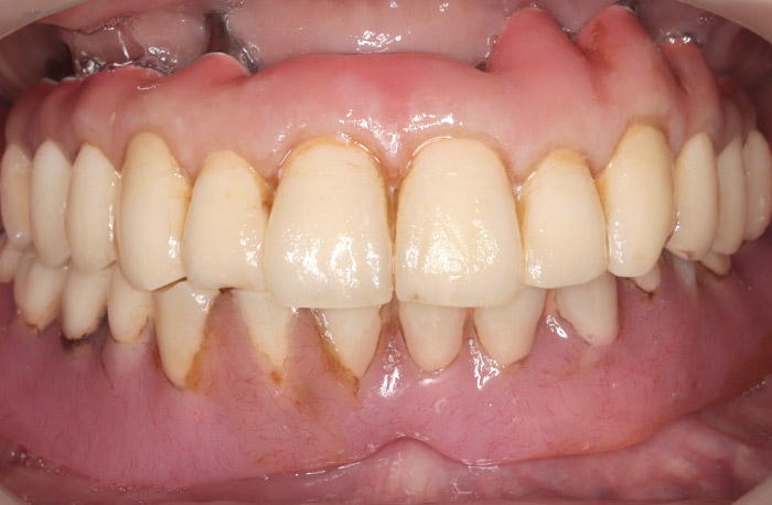
3.留め金が見えるのが気になる
BEFORE
AFTER
4.隣の歯を削らない
BEFORE
AFTER
5.左下の歯茎が腫れて痛い
BEFORE
AFTER
6.歯茎から血が出る、噛みづらい
BEFORE
AFTER
7.被せ物の色が気になる、歯茎が腫れている
BEFORE
AFTER
8.ほぼ全ての歯が虫歯でボロボロに
BEFORE
AFTER
9.右下の歯が痛い
BEFORE
AFTER
10.右下にインプラントを入れたい
BEFORE
AFTER
11.左右の奥歯がない
BEFORE
AFTER
12.入れ歯は入れたくない
BEFORE
AFTER
13.噛むと痛い、歯茎から血が出る
BEFORE
AFTER
14.左下の被せ物が取れた
BEFORE
AFTER
15.奥歯をインプラントで治して欲しい
BEFORE
AFTER
16.前歯をインプラントで治したい
BEFORE
AFTER
17.入れ歯が合わずうまく噛めない
BEFORE
AFTER
18.歯がグラグラして噛めない
BEFORE
AFTER
19.全ての歯が
グラグラしていて噛めない
BEFORE
AFTER
20.入れ歯が合わない
BEFORE
AFTER
- 梅田エリア
- なんばエリア
- 茨木エリア
- 高槻エリア
- 西宮エリア
-
クリニック紹介
06-6347-1888 ▶︎ インプラント無料カウンセリングドクター紹介
-
院長 景山 祐杜
スマイルプラン歯科クリニックOSAKAの院長の景山祐杜です。
歯科に来院される患者様のお口の悩みは痛みや不快感、審美障害など多岐に渡ります。
私たちはその悩みを改善できるよう最新の医療設備や高い治療技術、患者様に寄り添った親しみやすいサービスを惜しみなく提供致します。
お口の悩みや不安を抱える患者様は是非お気軽に当院まで足を運んでください。 皆様のご来院を心よりお待ちしております。経歴
九州大学歯学部 卒業 スマイルプラン歯科クリニック
OSAKA 院長
院内設備紹介
-
-
クリニック紹介
06-6633-2828 ▶︎ インプラント無料カウンセリングドクター紹介
-
院長 西野 毅至
患者様のお悩みに寄り添うことができる歯科医師でありたいと思っております。
常に最新の知識や技術を身につけることで、患者様にできるだけ多くの選択肢を提供できるように努力していきたいと思っております。経歴
九州歯科大学歯学部 卒業 ホワイトベア歯科クリニックなんば 院長
院内設備紹介
-
-
クリニック紹介
072-625-8222 ▶︎ インプラント無料カウンセリングドクター紹介
-
理事長・院長 山本 恒一
私たちスマイルプラン歯科グループのコンセプトは「すべてにおいて上質な歯科医院であること。」です。
質の高いおもてなしと医療サービス、最高レベルの治療技術を患者様に提供できる歯科医院であるために日々研鑽しています。経歴
1999年 大阪大学歯学部卒業 2004年 スマイルプランやまもと歯科クリニック開院 -
副院長 高倉 駿
経歴
昭和大学歯学部卒業 スマイルプランやまもと歯科クリニック勤務
院内設備紹介
クリニック紹介
072-637-1755 ▶︎ インプラント無料カウンセリングドクター紹介
-
院長 有田 昌慎
当院では医院の内装や患者様への対応・コミュニケーション、歯科医師の技術という3点に特に力を入れて患者様の診療を受け入れるようにしています。
私達は患者様からお口の健康を任せていただけるように、頼りがいのある歯科医院を目指しています。経歴
九州歯科大学歯学部卒業 スマイルプランさくら歯科クリニック 院長 -
井上 倭総
経歴
岡山大学歯学部卒業 スマイルプランオーク歯科クリニック勤務
院内設備紹介
-
-
クリニック紹介
072-686-2200 ▶︎ インプラント無料カウンセリングドクター紹介
-
院長 有田 昌慎
当院では医院の内装や患者様への対応・コミュニケーション、歯科医師の技術という3点に特に力を入れて患者様の診療を受け入れるようにしています。
私達は患者様からお口の健康を任せていただけるように、頼りがいのある歯科医院を目指しています。経歴
九州歯科大学歯学部 卒業 スマイルプランさくら歯科クリニック 院長
院内設備紹介
-
-
クリニック紹介
0798-34-5566 ▶︎ インプラント無料カウンセリングドクター紹介
-
院長 野口 陽平
経歴
岡山大学歯学部卒業 スマイルプラン歯科クリニック西宮勤務 研修実績
DIO naviインプラント実践コース アストラテックインプラントシステムEVイントロダクトリーコース テルナ・ジャパン ヒアルロン酸注入、ボトックス治療セミナー ClubGP Basic Program -
副院長 秋山 咲季
同じ目線で患者様にとって必要で最適な治療は何なのかをしっかりと把握し、丁寧な治療をご提供いたします。
気になることがあれば些細なことでもご相談ください。経歴
岡山大学歯学部卒業 スマイルプラン歯科クリニック西宮 副院長
院内設備紹介
-
※WEB予約が埋まっていても当日受診可能な場合がありますのでお電話ください。





